Hallan una neurona gigante cubriendo todo el cerebro, la cual podría ser el anclaje de la consciencia.
Por primera vez en la historia un grupo de investigadores ha detectado una mega neurona que está conectada a ambos hemisferios, y cubre toda la circunferencia cerebral.
El descubrimiento fue gracias a un nuevo método de reconstrucción digital que fue capaz de mostrar tres neuronas que se ramificaban a lo largo del cerebro, incluyendo una que envolvía toda la capa externa.
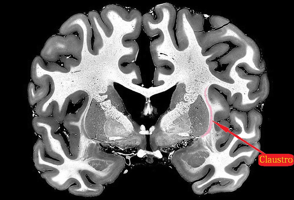
El trabajo liderado por Christof Koch, del Allen Institute for Brain Science, mostró cómo el equipo científico fue capaz de rastrear tres neuronas a través de una capa de células extremadamente pequeña y delgada llamada claustrum (claustro); se sospecha que esta región cerebral actúa como comando de la consciencia humana.
Por primera vez en la historia un grupo de investigadores ha detectado una mega neurona que está conectada a ambos hemisferios, y cubre toda la circunferencia cerebral.
El descubrimiento fue gracias a un nuevo método de reconstrucción digital que fue capaz de mostrar tres neuronas que se ramificaban a lo largo del cerebro, incluyendo una que envolvía toda la capa externa.
El trabajo liderado por Christof Koch, del Allen Institute for Brain Science, mostró cómo el equipo científico fue capaz de rastrear tres neuronas a través de una capa de células extremadamente pequeña y delgada llamada claustrum (claustro); se sospecha que esta región cerebral actúa como comando de la consciencia humana.
Los investigadores describieron cómo las tres neuronas se extendieron a ambos hemisferios del cerebro y cómo la más grande envolvía la circunferencia del órgano como si fuera “una corona de espinas”. Este descubrimiento es todo un hito, ya que nunca se había visto una neurona extenderse a través de ambas regiones cerebrales.
El descubrimiento no queda ahí, ya que C. Koch encontró que las tres neuronas emanaban del claustrum, razón por la que las implicaciones podrían ser aún mayores.
¿Explica esto el origen de la consciencia, o el lugar de anclaje de la misma?
El claustrum es una delgada capa de materia gris que aparenta ser la estructura más conectada de todo el cerebro; una pequeña región que se oculta entre la superficie interna del neocórtex en el centro del cerebro, y que se comunica con casi todas las regiones de la corteza para lograr las funciones cognitivas superiores (visión, audición, lenguaje, etc.).
‹Los propios investigadores aclaran que esto no significa que podamos explicar el origen de la consciencia a través del claustrum; pero no cabe duda que es una aproximación.›
En cualquier caso, esta mega neurona que cubre completamente el cerebro y se conecta con ambos hemisferios, abre una interesante vía de investigación. Un auténtico rompecabezas que podría acarrear respuestas a muchas preguntas sobre la consciencia humana.
Fuente: Scientific American


